Largest genome study uncovers new information about genetic causes of stroke
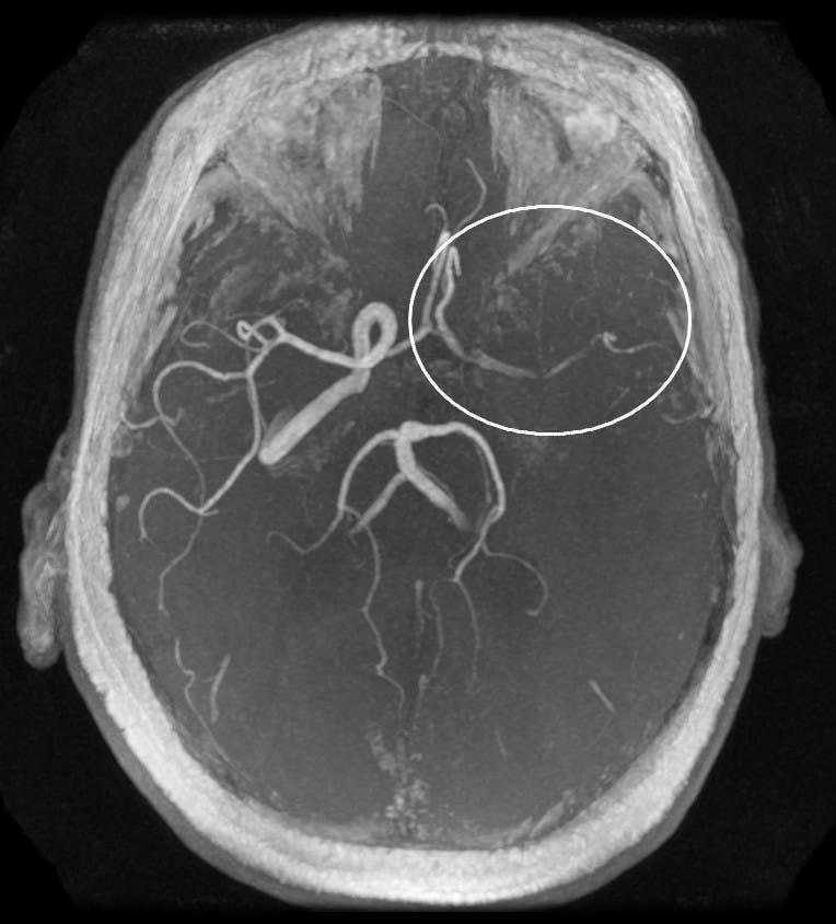
By Areeka Memon | March 15, 2016Ischemic stroke can occur when an artery that normally brings fresh blood from the heart and lungs to the brain is blocked.
Ischemic stroke can occur when an artery that normally brings fresh blood from the heart and lungs to the brain is blocked.
A group chaired by Nephrology Prof. Mitchell Rosner published international guidelines in the “Clinical Journal of Sports Medicine” in July discussing the issue of overhydration and highlighting its health risks.
The University School of Medicine’s Kashatus Lab discovered new targets for cancer medicine that could aid in the prevention of tumor growth.
The Medical Center Operating Board recently approved a plan to renovate and expand the emergency department in order to allow for more patients and procedures.
Researchers at the University School of Medicine recently discovered a substance produced by lung cancer cells that enables metastasis.
The University Health System will take part in a new program which grants faster access to care for patients.
The U.Va. Health System received a new $1 million federal grant to better patient care teamwork between nursing professors, medical professors and clinicians by expanding work and education between nurses and doctors.
The University Cancer Center was recently accredited by the Commission on Cancer for the exceptional care it provides to its patients in addition to the support it gives to the friends and families of those patients.